




LEVAMICIL zur Anwendung bei Süß- und Seewasserfischen
LEVAMICIL ist eine neue Entwicklung von Manaus-Aquarium mit dem Wirkstoff: (S)-6-Phenyl-2,3,5,6-tetrahydroimidazo[2,1-b][1,3]thiazole zur erfolgreichen Behandlung an Nematoden erkrankter Zierfische. LEVAMICIL beinhaltet einen der wirkungsvollsten pharmazeutischen Stoffe zur Behandlung von Nematoden befallener Fische und ist durch die besondere Galenik (Zubereitung) diese Medikaments besonders effektiv.
LEVAMICIL besitzt eine äußerst gute Verträglichkeit für alle Fischarten.
LEVAMICIL befreit Ihre Fische wirkungsvoll und nachweislich von Nematoden. Alle Zierfischarten können von Fadenwürmern (Nematoden) befallen werden. Die meisten Infektionen der Fische mit Fadenwürmern werden durch Haarwürmer (Capillaria sp.) und Fräskopfwürmer (Camallanus cotti) verursacht.. Diskusfische sind oft im Darm von einer bestimmten Art von Madenwürmern (Oxyuridae sp.) befallen, welche auch zu den Nematoden gehört.
Diese Parasiteninfektionen sind unbehandelt für ein langsames dahin Siechen der Tiere bis zum Tod verantwortlich. Jungfische und kleinere Fischarten sterben bei einem Befall schon nach kurzer Zeit an den Parasiten. Elterntiere sollten bei einem nachgewiesenen Befall unbedingt vor dem Ansetzen zur Zucht von diesen Nematoden mit LEVAMICIL befreit werden.
- Das Präparat zeichnet sich durch einen sehr schnellen therapeutischen Erfolg und eine sehr gute Verträglichkeit auch bei Jungfischen aus.
- LEVAMICIL ist frei von polymeren Lösungsvermittlern.
- LEVAMICIL verfärbt nicht und trübt (Bakterienblüte) nicht das Aquarienwasser.
Auf Grund der Verschreibungspflichtigkeit des Wirkstoffs Levamisol ist LEVAMICIL im Gegensatz zu anderen europäischen Ländern (z.B.: Niederlanden, Großbritanien) in Deutschland nicht frei verkäuflich!
Packungseinheiten: 100ml für 2000 Liter Wasser
Verkaufspreis inkl. 16% Mwst. für die 100ml Verpackungseinheit: 28,95 EURO
LEVAMICIL Packungsbeilage zum Download (Stand der Informationen vom Oktober 2014)
LEVAMICIL Informations in english (September 2015)
LEVAMICIL Informatie in het Nederlands (November 2015)

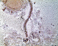
Haarwurm (Capillaria sp.) im Darm eines Diskus, der weibliche Wurm ist voll mit Eiern.
Eier von Haarwürmern (Capillaria sp.) zu finden im Kot von Fischen, hier bei Diskus
Auffällig sind die deckelartigen Enden der Eier
Fräskopfwurm (Camallanus cotti) im Darm eines Guppy

Larve des Fräskopfwurms (Camallanus cotti) in Darm eines Fadenfischs
Krankheitssymptome der Fische bei einem Befall mit Nematoden:
Die Symptome für einen Befall der Fische mit Haarwürmern (Capillaria sp.) können sehr vielfältig sein. Infektionen durch Capillaria sp. sind bei einem Verdacht am einfachsten durch den mikroskopischen Nachweis von Nematodeneiern im Kot der Fische zu bestätigen. Ein Befall mit Haarwürmern kann sich durch folgende Symptome bei befallenen Fischen äußern:
- Aufgetriebene Bäuche, trotz geringer oder fehlender Nahrungsaufnahme.
- Abmagern trotz guter Nahrungsaufnahme.
- Weißer Kot, verursacht durch eine Nematoden bedingte Darmentzündung.
In der Regel beginnen die Fische am Tag nach der Behandlung mit LEVAMICIL die abgestorbenen Würmer auszuscheiden.
Ein Befall mit Fräskopfwürmern ist mit dem Auge relativ einfach zu erkennen an folgenden Symptomen:
- Rote, aus dem After Fische hängende, dünne Würmer, welche sich auch wieder in Darm zurückziehen.
- Aus der Bauchwand heraushängende Würmer.
- Aufgetriebene Bäuche, trotz geringer oder fehlender Nahrungsaufnahme.
Die Schädigung durch Camallanus Arten, ohne eine Behandlung, führen früher oder später immer zum Tod der Fische, da sich die Würmer durch die Darmwand des Wirtstieres bohren und diese perforieren. Die Folge sind entzündliche Prozesse in der Bauchhöhle der Fische, welche zum Tod führen.
Bitte lesen Sie unbedingt vor der Anwendung des Medikaments die Gebrauchsinformationen des Herstellers welche jeder Packung beiliegen!
>> Was Kunden über dieses Produkt sagen



